Artículo - Brackets Cerámicos

Brackets Cerámicos

Los brackets de cerámica son dispositivos estéticos, del color del diente que tienen como función acoger un arco para poder enderezar las piezas dentarias mediante fuerzas aplicadas biológicamente al ser adheridos a la superficie dentaria. Son los preferidos por muchas personas, especialmente adultos, que a menudo quieren evitar los aparatos metálicos.

Los brackets de cerámica son abrazaderas del color del diente que se utilizan para enderezar los mismos. Son los preferidos por muchas personas, especialmente adultos, que a menudo quieren evitar los aparatos metálicos. 


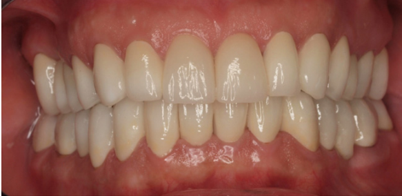
Los brackets de cerámica son mucho menos perceptibles que los aparatos metálicos. De hecho, la mayoría de la gente no los nota, a menos que estén cerca de una persona. Las piezas pequeñas de cerámicas se pegan a cada diente y se coloca un alambre a través de los dientes superiores e inferiores. Estos alambres están hechos de un material compuesto muy fuerte y duradero.




Aunque un dentista te recomendará un determinado tipo de brackets según la necesidad que tengas y basado en el trabajo correctivo que se va a hacer, la mayoría de los ortodoncistas dejan en los pacientes la decisión de si se quiere llevar brackets de cerámica o de metal hasta. Además de ser mucho menos notable que los aparatos metálicos, los brackets cerámicos suelen ser más cómodos que los de metal ya que tienden a no irritar las encías. Algunas personas creen que los brackets cerámicos se pueden romper, pero esto no es cierto si se han tratado con una luz de plasma.


Los brackets cerámicos pueden utilizarse conjuntamente con gomas claras o blancas. Son pequeñas bandas elásticas que sujetan el arco a los brackets. las gomas se pueden manchar y luego se vuelven más evidentes porque cogen un color amarillento. La gran característica de las gomas es que se pueden cambiar tantas veces como quieras de modo que si se manchan, se puede cambiar en poco tiempo. Las gomas para los brackets pueden comprarse en las farmacias. Los aparatos de cerámicas suelen costar un poco más que los de metal, pero en el caso de los adultos, que son más conscientes de su apariencia, son una buena inversión. Es importante que sepas que es posible que en tu caso no puedas utilizarlos ya que los brackets de cerámica no son válidos en todos los pacientes. Si el trabajo correctivo es extenso, seguramente necesites los de metal.


La duración del tratamiento con brackets de cerámica puede ser algunos meses más largo que con los de metal, pero esto no suele ser un problema para los adultos que prefieren la estética a la rapidez. La cerámica es capaz de enderezar los dientes torcidos o mal alineadas de la misma forma que el metal en la mayoría de los casos. También pueden ser usados para enderezar la mandíbula para ayudar al paciente a masticar mejor los alimentos.


Los que usan los brackets cerámicos tienen mucho cuidado en evitar manchas en las gomas elásticas. La mayoría de los ortodoncistas recomiendan que los pacientes limitan o eviten los alimentos que manchan (como por ejemplo el curry, los refrescos de cola, el té, el café, el vino tinto, las bebidas de frutas y la salsa de tomate. Los pacientes pueden elegir el color de las ligaduras (gomas), y la mayoría de los pacientes usan las claras aunque lo cierto es que las variedad de colores es bastante extensa. Por lo general, se suele coger de las color blanco porque se busca que pase desapercibidas. Estas gomas blancas se manchan más que otras así que habrá que cambiarlas con más frecuencia.



Es muy importante para los que usan los brackets cerámicos que se cepillen los dientes después de comer. Cepillarse los dientes inmediatamente después de comer puede mantener las gomas blancas durante más tiempo. No debes utilizar pasta de dientes blanqueante por que si lo haces, la parte del diente que queda pegada al bracket tendrá un color distinto cuando retiren los aparatos. Los cepillos de dientes eléctricos son muy útiles para mantener los dientes y las gomas libres de manchas.


Los beneficios de los brackets cerámicos son tantos que definitivamente vale la pena el cuidado que se debe tener para mantenerlos limpios. Debe realizarse de forma continuada una higiene dental excelente durante toda la vida para mantener los dientes limpios, saludables y libre de manchas.


Beneficios de los Brackets Cerámicos


  • Se camuflan con la mayoría de los dientes, especialmente si no se tiene un blanco perfecto. Son discretos en la distancia o en fotos.
  • Algunas personas se sienten más cómodas que con los de metal porque irritan menos las encías.
  • Contrariamente a lo que puedas haber oído, los brackets cerámicos no suelen romperse. Son extremadamente fuertes.


Desventajas de los Brackets Cerámicos


  • Las gomas claros o blancas se puede manchar, lo que contradice la estética de los brackets cerámicos.
  • Los brackets cerámicos se suelen ser más caros que los brackets metálicos.
  • El tratamiento puede durar unos meses más que con los brackets tradicionales.
  • Desde un punto de vista puramente estético, son un poco más grandes que los brackets metálicos.
  • Si tiene problemas graves, el ortodoncista querrá usar brackets cerámicos ya que pueden no ser lo suficientemente fuertes como para resistir la fuerza de algunos tipos de tratamiento.